„Hocus POCUS“ – Point Of Care Ultraschall
POCUS steht für „Point Of Care Ultraschall“ – Ultraschall direkt am Ort des Geschehens. Dafür sind spezielle, mobile Geräte notwendig. Diese sind mittlerweile in verschiedenen Varianten erhältlich. Manche sind nicht größer als ein Smartphone. In der Notfallmedizin sind diese Geräte immer mehr im Kommen, da sie auch präklinisch eingesetzt werden können. Sie ermöglichen eine schnelle Diagnose relevanter Krankheitsbilder und können das Prozedere oder auch die Wahl des Zielkrankenhauses verändern. Für die schnelle orientierende Sonographie stehen verschiedene Konzepte bereit. Diese Art der Sonographie ist alles andere als Zauberei 😉.
Das pdf zu dieser Folge findet Ihr hier:
Fact 1 – Grundkonzept!
Die Notfallmedizin ist geprägt von zeitkritischen Ereignissen. Die Sonographie in der Notfallsituation darf die weitere Versorgung des Patienten nicht verzögern. Die Untersuchung fokussiert sich auf akut lebensbedrohliche Umstände, wie z.B. freie Flüssigkeit als Zeichen einer intraabdominellen Blutung. Zudem lassen sich reversible Ursachen im Rahmen einer Reanimation erkennen und gezielt behandeln. Wie sonst sollte man präklinisch einen großen Teil der H’s und HITS detektieren?
POCUS kann aber noch mehr. In der Notaufnahme ist eine orientierende Sono- und Echokardiographie sehr hilfreich bei der Differentialdiagnostik. Hier können Gallensteine oder eine Cholezystitis nachgewiesen und z.B. ein Harnstau erkannt werden. Echokardiographisch können Rechtsherzbelastungszeichen und beispielsweise die Pumpfunktion des Herzens eingeschätzt werden. All dies erfordert keine exakte Messung, sondern kann relativ rasch visuell erfasst werden. Hierauf zielt die POCUS-Diagnostik ab:
Das rasche Erkennen von Pathologien am Ort des Geschehens mit nur einem Blick.
Bei Punktionen, z.B. bei Anlage eines ZVK, ist eine Ultraschallunterstützung sinnvoll. Bei schlechtem Venenstatus kann aber auch das Legen einer Venenverweilkanüle sehr gut unterstützt werden und es können Fehlpunktionen reduziert werden.
Die POCUS-Diagnostik kann in verschiedenen Kursformaten erlernt werden (z.B. von der DEGUM). Sie muss aber regelmäßig angewandt werden, um rasch Blickdiagnosen stellen zu können.
Fact 2 – POCUS – Lunge!
Die Lunge kann man nicht schallen? Jein. Richtig ist: Luft ist der natürliche Feind des Ultraschalls. Aufgrund der Physik des Ultraschalls wird dieser an Grenzflächen zu Luft vollständig reflektiert. Dies führt zu Artefakten. Damit sind lufthaltige Organe meist nur durch ihre Artefakte darstellbar. So auch die Lunge. Aber: wer die Artefakte zu deuten weiß, kann viele Informationen gewinnen.
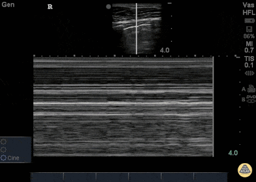
Pneumothorax
Der Pneumothorax spielt v.a. bei Traumapatienten eine wichtige Rolle. So ist der Spannungspneumothorax die häufigste reversible Ursache eines traumatischen Herzkreislaufstillstandes und sollte in der Präklinik entlastet werden (S3-Leitlinie Polytrauma). Sonographisch kann ein Pneumothorax relativ rasch diagnostiziert werden. Die Bewegung der Pleura bei der Atemexkursion lässt sich darstellen („Ameisenlaufen“). Fehlt diese Bewegung, so liegt ein Pneumothorax vor. Im M-Mode lässt sich dies eindrücklich als sogenanntes „Barcode-Zeichen“ darstellen. An der Grenze zwischen anliegender Lunge und Pneumothorax befindet sich der sogenannte Lungenpunkt. Dieser beweist einen Pneumothorax.

Quelle: http://www.thepocusatlas.com/pulmonary CC BY-NC 4.0
Ödem
Das Lungenödem ist gekennzeichnet durch Flüssigkeitseinlagerung im Interstitium oder den Alveolen der Lunge. Diese Flüssigkeit ist sonographisch als sogenannte B-Linien darstellbar. 2-3 helle Linien pro Sichtfeld gelten als normal. Mehr Linien bedeuten vermehrte Flüssigkeitseinlagerung. Auch eine Kontusion der Lunge durch ein stumpfes Trauma führt zu vermehrten B-Linien.

Quelle: http://www.thepocusatlas.com/pulmonary CC BY-NC 4.0
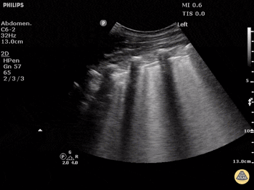
Pleurale Flüssigkeit
Neben der Lunge selbst, wird natürlich auch die Pleurahöhle untersucht. Hier wird nach Flüssigkeit gesucht als Zeichen für einen Pleuraerguss oder Hämatothorax. Diese Flüssigkeitsansammlung kann durch Verdrängung der mediastinalen Strukturen hämodynamische Relevanz erlangen.

Quelle: http://www.thepocusatlas.com/pulmonary CC BY-NC 4.0
Was kann man noch an der Lunge schallen?
Eine Pneumonie schallen? Ja auch das geht. Sonographisch lässt sich ein Infiltrat darstellen. Bei einer Pneumonie kann es zu einer Hepatisation kommen, die man sonographisch darstellen kann. Ein Bronchopneumogramm (wie im Röntgenbild) ist sonographisch ebenfalls darstellbar.
Auch eine (in der Regel periphere) Lungenembolie ist prinzipiell sonographisch darstellbar. Es zeigen sich rundliche Defekte im Lungenparenchym als indirekte Zeichen für eine Lungenembolie. Diese zu finden gelingt aber meist in der Akutsituation nur zufällig oder benötigt viel Zeit. Den tatsächlichen Thrombus kann man nur äußerst selten in der Lungenstrombahn darstellen.

Quelle: http://www.thepocusatlas.com/pericardium CC BY-NC 4.0
Fact 3 – POCUS – Herz!
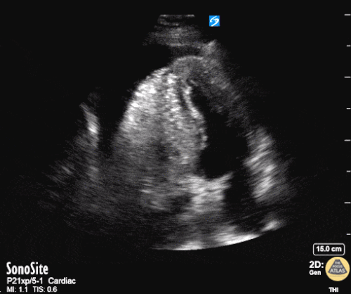
Perikarderguss/Tamponade
Der Perikarderguss, bzw. die Maximalvariante – die Tamponade – ist eine sonographisch leicht zu diagnostizierende Erkrankung, sowohl mit einem Konvex- (=Abdomen-) als auch einem Echoschallkopf. Am einfachsten gelingt der Nachweis von subxiphoidal. Der Schallkopf wird unterhalb des Xiphoids aufgesetzt und so unter die Rippen gekippt, dass das Herz zum Vorschein kommt. Hier kann man einen (relevanten) Erguss rasch erkennen. Zeichen für eine hämodynamische Relevanz sind z.B. die Kompression des rechten Vorhofs und des Ventrikels.

Quelle: http://www.thepocusatlas.com/pericardium CC BY-NC 4.0
Pumpfunktion
Bei der Notfallechokardiographie geht es nicht um die genaue Berechnung der Ejektionsfraktion. Im Notfall geht es um drei Kategorien: gute (erhaltene) Pumpfunktion, schlechte Pumpfunktion, sehr schlechte Pumpfunktion. Dies wird visuell eingeschätzt. Es wird nichts gemessen – der erste Eindruck zählt. Auch Wandbewegungsstörungen können visuell erfasst werden.

Quelle: http://www.thepocusatlas.com/left-ventricle-1 CC BY-NC 4.0
Rechtsherzbelastung
Bei einer schweren, hämodynamisch relevanten Lungenembolie lassen sich echokardiographisch Rechtsherzbelastungszeichen nachweisen. Ein klassisches Zeichen ist das sogenannte „D-Sign“. Ein Thrombus in der Lungenstrombahn führt zu einem erhöhten Druck in den Pulmonalarterien und dadurch im rechten Ventrikel. Durch den hohen Druck im rechten Ventrikel wird der linke Ventrikel komprimiert und verändert seine Form vom klassisch kreisrunden O zu einem D. Dieses Zeichen kann man in der parasternal kurzen Achse darstellen. Im 4-Kammerblick ist das rechte Herz dilatiert.

Quelle: http://www.thepocusatlas.com/right-ventricle CC BY-NC 4.0
Echokardiographie in der Reanimation
Im Rahmen einer Reanimation kann die orientierende Echokardiographie ei hilfreiches Tool sein. Neben der Detektion von behebbaren Ursachen (z.B. Perikardtamponade) können auch Kriterien erhoben werden, die die Entscheidung für oder gegen eine Fortführung der Reanimationsbemühungen unterstützen können. Eine totale Akinesie des Herzens ist ein Zeichen für einen möglicherweise irreversiblen Kreislaufstillstand. Diese Kriterien können in die Entscheidung zur Beendigung einer Reanimation mit einfließen und die anderen Kriterien ergänzen. Zudem können potentiell reversible Ursachen detektiert und behandelt werden.
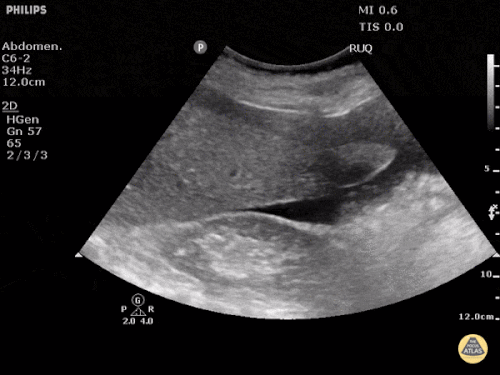
Fact 4 – POCUS – Abdomen!
Freie Flüssigkeit
Bei der Notfallsonographie hat die Suche nach freier Flüssigkeit oberste Priorität. Diese findet man vornehmlich im sogenannten Morrison Pouch (zwischen rechter Niere und Leber), im Coller Pouch (zwischen linker Niere und Milz) sowie im kleinen Becken neben der Harnblase. Wichtig ist, dass bei der Suche nach freier Flüssigkeit im kleinen Becken möglichst senkrecht geschallt wird (Schallkopf nah an die Symphyse, erst dann kippen), da sonst die Gefahr besteht, dass man an der freien Flüssigkeit „vorbei schallt“.

Quelle: http://www.thepocusatlas.com/trauma-1 CC BY-NC 4.0
Differentialdiagnosen POCUS Abdomen
Bei der orientierenden Sonographie des Abdomens können viele Diagnosen rasch mit einem Blick erkannt werden. Hierzu gehören u.a. Cholezystitis, Cholezystolithiasis, Harnstau und Aortenaneurysmen. Dies würde den Rahmen dieses Formates sprengen, auf die Einzelheiten einzugehen. Daher seien hier nur ein paar Beispiele genannt. Für mehr Informationen lohnt sich der Blick ins Netz oder die Teilnahme an einem entsprechenden Kurs.
Fact 5 – POCUS – Notfallalgorithmen!
eFAST (extended Focussed Assessment with Sonography for Trauma) und FEEL (Focused Echocardiography in Emergency Life support) sind Konzepte für eine schnelle, strukturierte Notfalluntersuchung mittels Ultraschall. Die algorithmusbasierte Untersuchung ermöglicht innerhalb von maximal 1-2 Minuten eine Detektion von relevanten Diagnosen bei kritisch kranken Patienten. Die RUSH-Sonographie (Rapid Ultrasound in Shock and Hypotension, erstmals von Scott Weingart beschrieben) ist ein weiteres Konzept für einen Notfallalgorithmus. Egal welchem Alphabet man folgt, wichtig ist ein standardisierter Ablauf, damit in der hektischen Notfallsituation nichts übersehen wird.
Die Uni Düsseldorf bietet online ein breites Angebot kostenloser Sonographiekurse.
Was man sonst noch so schallen kann, könnte Ihr Euch hier ansehen: Ultraschall-News: Augen-Ultraschall, Time is Hoden und Sono statt Röntgenstrahlen?!
Fazit
Auch wenn Vieles auf den ersten Blick nach „Hocus Pocus“ klingt. Nach ein wenig Übung gelingen diese Diagnosen mit einem Blick und sind letztendlich keine Zauberei. Eine genauere Befassung mit dem Thema POCUS und Notfallsonographie lohnt sich. Ich hoffe, ich konnte Euch einen kleinen Einblick geben und habe Euer Interesse geweckt. Für Fragen und Anregungen schreibt gerne einen Kommentar.
Quellen und weiterführende Infos:
Kostenloser POCUS Atlas online
Kostenloser online Sono-Kurs Uni Düsseldorf
FOAMina – Echo in der Reanimation
Hessisches Ärzteblatt – Einsatz der Echokardiographie bei der Reanimation
SOP Prähospitale Notfallsonographie
Sefrin P, Kerner T, Dörges V. Verzicht auf Einleitung oder Abbruch einer Reanimation in der Präklinik. Notarzt 2019; 35: 16-22. doi:10.1055/a-0659-6154

5 Kommentare zu „NERDfacts Folge 3/2020 Hocus POCUS – Point of care Ultraschall“