Notfallsonografie prähospital – Ultraschall auf der Straße und im Rettungswagen

Für Einige vielleicht ein nerdiges Thema – für Alle die in die in der klinischen Notfallmedizin arbeiten schon fast ein alter Hut: Ultraschall. Nachdem in den letzten Jahren bewiesen wurde, wie oft eine fokussierte Sonografie lebensrettende oder sofort therapierelevante Ergebnisse gebracht hat, kommen kleine, handliche Ultraschallgeräte zunehmend auch auf Rettungsmittel… aber nach was suchen und wann einsetzen?
Im neuen Video gibt es einen pragmatischen Überblick über Szenarien und auch einige Tipps zum Einsatz – und wo man vielleicht auch etwas zurückhaltend sein sollte.


Vor- und Nachteile

Die Notfallsonografie bietet die einmalige Möglichkeit Diagnosen zu stellen und Therapien bzw. Transportziele noch präklinisch anzupassen. Wichtig ist aber: Das neue „Gadget“ sollte nicht zum „herumspielen“ verleiten und die Nutzung muss wie alle anderen Maßnahmen an die Situation und den Zeitdruck angepasst passieren. Nicht umsonst wird die Nutzung der Sonografie in den neuen Reanimationsleitlinien wieder etwas kritischer erwähnt, da sich in Studien teils (a.e. wegen der Zeitverzögerung / kompressionsfreien Intervallen) schlechtere Outcomes gezeigt hatten. Deshalb gilt klar: Die klaren Indikationen sind (potentielle) therapeutische Konsequenzen und/oder Transportkonsequenzen.

Vier Szenarien


Daher besprechen wir vier Szenarien, bei denen Ultraschall bereits präklinisch einen klaren Unterschied machen kann – und wie man ihn einsetzt.

  • Dyspnoe
  • Reanimation
  • Trauma
  • Schock

Dyspnoe / respiratorische Insuffizienz

Hier hilft die Unterscheidung Pneumothorax / feuchte Lunge / Pleuraerguss vor allem in der Akuttherapie: Handelt es sich um eine akute Herzinsuffizienz mit Lungenödem oder um eine exazerbierte COPD oder gar einen Pneumothorax?

Untersuchungspunkte:

  • Beidseits parasternal (vertikal), dann langsam seitlich rutschen Richtung
  • Flanken beidseits (vertikal)

Fragestellung:

  • Pneumothorax?
  • Feuchte Lunge? (vermehrte B-Linien)
  • Freie Flüssigkeit / Pleuraerguss?

Beispiele (viel mehr gibt’s bei ThePocusAtlas):

B-Linien =feuchte Lunge, z.B. bei Lungenödem, Infiltrat, Lungenkontusion (Quelle: thepocusatlas.com)
Pneumothorax (rechts bildseitig) mit Lungenpunkt (Quelle: thepocusatlas.com)

Pleuraerguss mit Lungenkonsolidierung (Quelle: thepocusatlas.com)

Reanimation

Hier hilft vor allem ein kurzer Blick aufs Herz. Besteht eine Perikardtamponade? Gibt es eine Herzaktion (also ev. eine Pseudo-PEA?)? Ist der rechte Ventrikel massivst dilatiert? (Cave: Eine gewisse Rechtsherzbelastung ist bei allen Pat unter Reanimation zu erwarten, ev. kann ein kurzer Blick auf die Femoralvene helfen: Thrombose = hochgrad. V.a. Lungenembolie). Auch ein Blick auf die Lunge kann hilfreich sein (Pneumothorax?) – ist aber unter Reanimationsbedingungen oft erschwert.
WICHTIG: Keine relevante Zeitverzögerung! Nur wenige Sekunden während Rhythmuscheck, Countdown, kein „Warten“, Positionierung des Schallkopfes schon während Herzdruckmassage -> präklinisch sicherlich bei kleinem Team herausfordernd, als „Schallender“ sollte man die Rhythmusdiagnostik abgeben!

Untersuchungspunkte:

  • Subkostal mit Blick Richtung linke Schulter
  • alternativ „Vierkammerblick“ apikal nahe der Herzspitze (in Rea-Bedingungen oft erschwert / kann zu Zeitverzögerung führen!)
  • Bei DD Pneumothorax: Siehe Dyspnoe

Fragestellung:

  • Perikardtamponade?
  • Herzaktion? (LV)
  • RV-Belastung?

Beispiele (viel mehr gibt’s bei ThePocusAtlas):

Apikaler Blick: Hochgradig eingeschränkte LV-Funktion (Quelle: thepocusatlas.com)
Subkostaler Blick: Hochgradig eingeschränkte LV-Funktion (Quelle: thepocusatlas.com)
Apikaler Blick: (Akute) RV-Belastung (Quelle: thepocusatlas.com)
Subkostaler Blick: Perikardtamponade (Quelle: thepocusatlas.com)

Trauma

Sicherlich einer der schwierigsten Indikationsstellungen. Routinemäßig beim (zeitkritischen) Polytrauma ein potentielles Risiko für Zeitverzögerung – allerdings potentieller Benefit, falls freie abdominelle Flüssigkeit darstellbar -> Vorbereitung OP / Transfusion im empfangenden Krankenhaus, ggf. Änderung Transportziel auf (über)regionales Traumazentrum. Vorschlag: Untersuchung während (beginnendem) Transport, um Verzögerung zu verhindern, Untersuchungsschema „FAST“.

Untersuchungspunkte:

  • Flanke beidseits (hepatorenal / splenorenal Flüssigkeit?) -> Wichtig: Auf kranial nach Blutung / freier Flüssigkeit schauen!
  • Suprapubisch (freie Flüssigkeit Douglas Raum / retrovesikal?)
  • (Subkostal zum Ausschluss Perikardtamponade bei Thoraxtrauma)
  • (Parasternal zum Ausschluss Pneumothorax, insbes. bei Thoraxtrauma + intubiertem Pat.)

Fragestellung:

  • Freie Flüssigkeit?
  • Pneumothorax?
  • Perikardtamponade?

Beispiele (viel mehr gibt’s bei ThePocusAtlas):

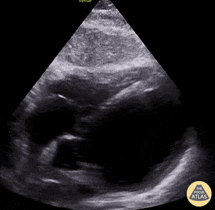
Schock

Ein komplexes Krankheitsbild und gerade präklinisch oft schwer einzuordnen. Eine fokussierte Notfallsonografie (z.B. nach dem RUSH-Protokoll „Rapid Ultrasound in Shock and Hypotension“) kann weiterhelfen – ist aber für den/die Ungeübte sicherlich nicht einfach machbar. Bei entsprechender Erfahrung ist dies ein „All in One“-Schall.

Untersuchungspunkte:

  • Lunge: Pneumothorax / feuchte Lunge / freie pleurale Flüssigkeit (s. Dyspnoe)
  • Herz: Subkostal / Apikal (s. Reanimation)
  • Abdomen: Freie Flüssigkeit (s. Trauma)
  • + Aorta – ein grober Überblick ob eine Dissektionsmembran oder massives Aneurysma darstellbar
  • + V. Cava – als Hinweis von Volumentolerabilität (nur eingeschränkt zur Volumenstatus-Beurteilung hilfreich)

Fragestellung:

  • Lunge / Herz / Abdomen (s.o.)
  • Aorta >5cm?
  • V. Cava kollaptisch?

Beispiele (viel mehr gibt’s bei ThePocusAtlas):

Aortenaneurysma mit Ruptur (9:00/10:00 Position) (Quelle: thepocusatlas.com)

Weitere Szenarien sind denkbar…

  • Ultraschallgezielter Venenzugang (oft sehr hilfreich, Übung nötig, Qualität der prähospitalen Geräte nicht immer ausreichend)
  • Ultraschallgezielte Nervenblocks bei Extremitätenverletzung
  • Akutes Abdomen: Lässt sich ein renaler Aufstau darstellen? Ileus? Freie Flüssigkeit?
  • und viele mehr…

Quellen

Avatar von Unbekannt

Autor: Martin Fandler

I like EM, critical care, prehospital EM, medical education and #FOAMed too.

6 Kommentare zu „Notfallsonografie prähospital – Ultraschall auf der Straße und im Rettungswagen“

  1. Vielen Dank mal wieder für die mühevolle Arbeit! Für mich gibt es i.E. prähospital „nur“ zwei Indikationen, da wenig zeitaufwendig und definitiv Konsequenz behaftet: z.A. Pneumothorax/Pericardtamponade. Alles andere (auch wenn easy) ist Luxus. Dabei halte ich es für unabdingbar, den Pneumothorax im M-Mode auszuschließen und somit bei den Ausschreibungen darauf zu achten, dass die Geräte das auch können.

  2. Sehr spannendes Video 🙂 von meiner Seite gerne mehr dazu bzgl. RUSH.
    Eine Frage vorneweg: Nutzt ihr denn Ultraschall auf dem NEF dann mit privaten Equipment oder wird dieses bereits vorgehalten. Bei mir in der Landrettung wird dies sicherlich für eine lange Zeit so nicht kommen. Aktuell hat dies nur ein RTH bei uns…

    1. Wir hatten ein Test-Sono, das wir im Notarztdienst mitgenommen hatten. Und aktuell haben wir das Glück, dass der Verein der Nürnberger Notärzte für unsere Standorte Ultraschallgeräte organisiert hat – wir freuen uns beide schon sehr darauf!!

  3. Das ist großartig. Super zusammen gefasst und vollständig für einer prähospitalen Untersuchung. Danke und bitte mehr ähnlichen Artikeln. Dr. Albers

  4. Hallo zusammen,

    Grundsätzlich bin ich der Meinung das die Sonographie ein wunderbares Werkzeug für die Einschätzung prähospital bis zu einem gewissen Punkt genutzt werden kann.
    Eindeutig ist zu erwähnen das es zu keiner Verzögerung des Transportes kommen darf.
    Aber eine Perikardtamponade/ Pneunothkrax, akuter Dissektion sind relevante Behandlungsbilder die sofortige Schritte benötigen.
    Eine Abdomensonographie ist mE nicht notwendig.
    In unserer Notaufnahme kommt ist immer wieder vor das Patienten unter Reanimation kommen wo nach Beginn der Reanimation und bis Eintreffen in die ZNA der Transport länger als 30min dauert. Hier eignet sich die Sonographie als wunderbares Instrument ggf. eine Lyse einzuleiten, eine Tamponade zu beheben.

    Immer mehr Notärzte bei uns schaffen sich ein eigenes Gerät an und nutzen dieses auch.

    Hier müssen aber gezielt Schulungen stattfinden und auch die IT-Struktur so geschaffen sein, dass ggf. Bilder direkt an das Klinikum gesendet werden können.

Kommentar verfassen