Hallo und herzlichst willkommen zu einer weiteren Runde bei den NERDfällen! 🤓 Es geht zu einer 74-jährigen Dame mit Atemnot. Vergesst nicht, eure Gedanken hier in den Kommentaren oder in der Telegram-Diskussionsgruppe mit all den anderen Nerds da draußen zu teilen. Viel Freude mit dem Fall!

Es ist ein kalter Mittwoch im Januar 2023, der Uhrzeiger springt in der Dunkelheit auf 03:37 Uhr. Die Besatzung eines RTWs schnarcht auf dem Sofa der Rettungswache, auf dem Fernsehbildschirm läuft noch „Luxuslimousinen aus der Hightech-Fabrik“. Zwei Minuten später brausen die beiden Kollegen mit Blaulicht durch die Nacht – der Melder hat zur Atemnot alarmiert.
Der Weg zum Einsatzort führt durch den Südwesten einer deutschen Großstadt und dauert 9 Minuten. Am Einsatzort angekommen, geht es mit dem gesamten Material (Rucksäcke, EKG, Absaugpumpe) per Aufzug in den 5. Stock eines Hochhauses. Direkt links hinter der Wohnungstüre – welche von einem älteren Mann geöffnet wird – geht es in das Schlafzimmer der Wohnung. Dort sitzt eine 74-jährige Frau (reduzierter AZ, adipöser EZ) an der Bettkante und atmet etwas angestrengt. Beide Hände sind auf den Knien abgestützt, die Haut ist eher kühl und etwas blass, die Atemfrequenz beträgt 22/min.
Alle Beteiligten in der Situation sind noch etwas müde, so dass ein verworrenes Anamnese-Gespräch einer strukturierten Erstuntersuchung vorausgeht:
„Guten Morgen. Der Rettungsdienst. Was ist ihr Problem, wie können wir Ihnen helfen?“, begrüßt der Notfallsanitäter, während sein Kollege ein Pulsoxymeter (SpO2 89%) anbringt .
„Ich krieg‘ so schlecht Luft. Ich habe seit einer Woche eine Bronchitis, der Hausarzt hat mir Amoxi irgendwas verschrieben. Das nehme ich noch. Sonst ist’s auch nicht so gut mit der Luft, aber so war es lange nicht mehr.“, antwortet die Patientin mit offensichtlicher Sprechdyspnoe.
„Alles klar. Machen Sie sich keine Sorgen, wir sind jetzt für Sie da. Seit wann geht das denn so? Und haben sie irgendwelche Lungenerkrankungen?“, fragt der Notfallsanitäter zurück, während er der Patientin eine Reservoirmaske mit 10l O2/min aufsetzt.
„Das geht so schon den ganzen Abend, ich konnte gar nicht schlafen und seit einer halben Stunde sitze ich so da. Heute den Tag über war’s noch gut. Und auch die letzten Tage bin ich ja noch rumgelaufen. Lungenerkrankungen? Nicht, dass ich wüsste. Allergien? Keine! Rauchen? Ja!“
In der Zwischenzeit hat der Rettungssanitäter ein 4-Kanal-EKG etabliert und macht sich jetzt gemeinsam mit dem eher gleichgültig gestimmten Ehemann auf die Suche nach einem Medikationsplan. Dieser findet sich schließlich neben einer Zigarettenschachtel auf dem Fliesentisch im Wohnzimmer. Die in Küche und Wohnzimmer verteilten Medikamentenpackungen machen nicht den Eindruck einer fürsorglichen Einnahme der Dauermedikation. Insgesamt wirkt die Wohnung eher unordentlich und stellenweise vermüllt.


Initialer Monitor-Befund (nach Anlegen der Sauerstoffmaske)
Zu dem etablierten Basismonitoring kommen mittlerweile auch Befunde einer strukturierten Untersuchung: Der Mundraum ist frei, die Schleimhäute trocken und die Zunge leicht bläulich. Klinisch fällt ein etwas verlängertes Exspirium auf. Bei der Auskultation (von dorsal) ist apikal ein bronchiales Atemgeräusch, mittig und basal fast nichts zu hören. Die Halsvenen sind flach. Die Rekap.-Zeit beträgt 3 Sekunden, die Radialis-Pulse sind seitengleich tastbar. PERRLA. Orientiert zu allen Qualitäten. Beidseits finden sich seitengleich sehr deutliche Unterschenkelödeme. Körpertemperatur 37,9°C.
Da das Team etwas ratlos ob der genauen Ursache der Atemnot ist, holt der Rettungssanitäter nun den Tragstuhl, um hiermit einen zügigen Transfer in den RTW durchzuführen. Währenddessen wird noch ein rosaner 20G iv.-Zugang in den rechten Unterarm gelegt. Der Blutzucker beträgt 117mg/dl. Die Patientin hustet immer wieder etwas zäh-weißlichen Auswurf empor. Sie gibt an, ihr Salbutamol Spray am Abend schon zweimal genutzt zu haben. Nach erfolgreichem Transfer in den RTW wird die Patientin mit stark erhöhtem Oberkörper auf der Trage gelagert. Sie wirkt nun motorisch deutlich unruhiger und auch verwirrter, als noch zuvor im Schlafzimmer und nestelt an ihrer Sauerstoffmaske herum.
Wie denkst du über die Situation?
Wie würdest du weiter vorgehen?
Zusatzinfo 1 (Freitag, 04.November / 13:40):

Extra-Info (Samstag, 05.November / 13:20 Uhr):
POCUS-Time! 🔊
Die gezeigten Sono-Befunde wurden im realen Fall nicht präklinisch erhoben, sondern erst innerklinisch gesichert. Präklinisch war damals kein Sono-Geät verfügbar. Zu NERDfall-Zwecken gibt es die Bilder jetzt schon. Da im Original nicht vorliegend, wurden äquivalente Befunde von https://www.thepocusatlas.com gewählt.
Die Bilder zeigen also den aktuellen Zustand der Patientin. Bis auf die Sono-Befunde ist die Situation unverändert zu Zusatzinfo 1.

Dieser Befund zeigt sich bei ventraler Anlotung über beiden Lungenhälften.

Dieser Befud zeigt sich sowhol (wie hier gezeigt) im Bereich der linken Flanke, als auch im Bereich der rechten Flanke.

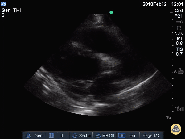
Parasternal lange Achse (Die hier gezeigte massiv reduzierte LV-Pumpfunktion war im realen Fall vermutlich etwas weniger ausgeprägt)
Zusatzinfo 2 (06.November / 20:30 Uhr):
Das NEF-Team betritt den RTW. Nach einer kurzen Übergabe herrscht weitere Unklarheit hinsichtlich der Arbeitsdiagnose. Das Stresslevel ist relativ hoch, es wird hektisch über eine exazerbierte COPD, eine Pneumonie und über eine Herzinsuffizienz als verschiedene Arbeitsdiagnosen spekuliert. Festlegen kann man sich im Team aber auf nichts, sodass schlussendlich versuchsweise eine Vernebelung von Salbutamol und Ipratropiumbromid vorgenommen wird. Ohne weitere Maßnahmen einigt man sich darunter auf einen „Load & Go“-Ansatz und beginnt den eiligen Transport in Richtung der internistischen Intensivstation des nahegelegenen Grund- und Regelversorgers. Während des Transportes verschlechtert sich der Zustand der Patientin weiter, so dass die Notärztin die Vernebelung beendet, um eine assistierte Beatmung zu beginnen, welche sie bis zur Klinik fortführen muss. Die Beatmung gelingt problemlos, wenn auch mit etwas mehr Widerstand als üblich. Ausführliche Informationen über die Vitalparameter während des Transports sind leider nicht verfügbar. Nach Eintreffen auf der Intensivstation wird noch innerhalb der ersten Minute sonographisch die Arbeitsdiagnose einer kardialen Dekompensation formuliert und eine dementsprechende Notfalltherapie begonnen. Die kaum mehr vigilante Patientin kann gerade noch so an die NIV genommen werden.
Was sind deine Gedanken?

Ich hatte schon so einen Fall, fast die genaue Ausgangslage.
Bei vorbestehender COPD, Inhalation Salbutamol, Atrovent, keine Besserung. SpO2 weiter am sinken, trotz O2 Gabe über Maske. Bei US-Ödemen bds. und kritischer Pat. habe ich mich zur NIV entschieden, um die Dyspnoe zu verbessern 2 mg Morphin und dann langsam unter PEEP-Steigerung, Anpassung an eine NIV mit PEEP von 6.
Parallel dazu Vorbereitung zur Intubation, und Transport herstellen.
Pat. besserte sich dann unter NIV und konnte trotz technischer Probleme (Leukosilk musste die Maske mit dem Beatmungssystem festkleben, nach mehrfacher Diskonnektion) in wesentlich besserem AZ in die Klinik gebracht werden. Landrettung, Transportzeit waren ca. 40 min.
Furosemid gab es auch noch während dem Transport, ist aber eher die langfristige Therapie als der sofortige Retter der akuten cardialen Dekompenstaion.
Temperatur 37,9° (wahrscheinlich tympanal und eher „schlampig“ gemessen), verlängertes Exspirirum, Nikotinabusus deuten auf infektexacerbierte chron. Bronchitis (produktiver Husten, Sekretfärbung weiß? eher nicht bakteriell?! Atemfrequenz?), Predni 100mg?
vorbek art Hypertonie und mäßig tachykardes VHF, US-Ödeme deuten auf mindestens Rechtsherzinsuffizienz, wahrscheinlich aber global mit Linksdekompensation (QRS 109, Hinweise auf einen inkompletten Schenkelblock? wenn ja welcher? ST-Senkung anterior und lateral, V7-9 bzw. V1r bis V6r? Indikation ASS KHK? pAVK?), gibts ein Notfallsono nebst Beurteilung (Füllungszustand, globale Pumpfunktion, regionale Dys-/Hypokinesie, Hypertrophie? Pleurabeurteilung und B-Linien nebst Anzahl, Pleuraerguss?), bei Linksdekompensation oder und Pleuraerguss wären ß2-Mimetika eher kontrainidiziert, insgesamt tendiere ich initial zum Furosemid mindestens 40mg, next level CPAP, ggf unter geringer MSI-Unterstützung, O2-Gabe ist bei manifester Hypoxämie und beobachteter AF in dem Stadium der COPD sicher kein Problem sondern mit Blick auf Ziel SpO2 ~92% erforderlich! somit natürlich möglichst bald BGA, sicher kritische Patientin = Anmeldung konservativer Schockraum
DD zu den schon genannten Ursachen wäre ein hyperkapnisches Atemversagen bei Adipositas on top zur exacerbierten COPD/ Herzinsuffizienz möglich. Also Torem, Steroid und niv mit kapno….
Furosemid, Inh mit Combivent( Salbutamol+ Ipratropiumbromid)
2 mg Mg
—> bei stabilen Zustand—> Rascher Transport
Später Labor, Rx, Angioscan
Für mich klingt das nach einer akuten Herzinsuff.
DD:
– LAE
– ACS
– Sepsis ( da Infektionsherd + 2 qSofa-kriterien erfüllt sind)
– hat Pat. Evtl. “ Läuse und Flöhe“?
Therapie bei Arbeitsdiagnose Herzinsuff.:
– Furosemid-Gabe
– Inhalation mit Salbutamol und Atrovent
-> Absaugbereitschaft herrichten!
– ggf. bei weiterer Verschlechterung des Zustandes:
– Intubation vorbereiten
– zweiter Zugang …
Ergebnis einer Kapnometrie?
Evtl. Tumorerkrankung/Thrombose/Embolie, Befund Abdomen?
Exazerbierte Copd. ?
12 Kanal EKG.
Aber bei einer COPD ist die Expiration doch verkürzt, oder nicht?
Ich gehe von einer kardinalen Ursache aus.
Ich würde auch denken, dass es sich hier primär um eine kardiale Dekompensation handelt. Aber da bei der Patientin auch sehr wahrscheinlich eine COPD vorliegt bei bronchodilatativer Therapie in der Medikation und anhaltendem Nikotinabusus, sowie verlängerter Expiration, finde ich die Gabe von 10 l O2 über eine Maske sehr kritisch!
Meine Tendenz wäre eher zu einer NIV Therapie mit möglichst niedrigem FIO2 bei gleichzeitiger Senkung des Hypertonus mit Nitro!
Ein interstitielles Lungenödem kann im Rahmen der Auskultation ein Giemen auslösen, das kaum von einer Spastik bei COPD oder Asthma bronchiale zu unterscheiden ist. Dies ist unter den Bedingungen der Präklinik immer wieder eine differentialdiagnostische Herausforderung- insbesondere ohne Sono, Pro-BNP etc. Die Pat mit einer pulmonalen Stauung verschlechtern sich meist ziemlich rasch- die exarcerbierte COPD verläuft meist über einen längeren Zeitraum- unabhängig von dieser Aussage ist der Hinweis auf die potentiell zu hochdosierte O2 Gabe richtig- solche Patienten muss man ständig bezüglich ihrer Vigilanz überwachen, um eine drohende CO2 Narkose rechtzeitig zu erkennen und durch einen Stopp bzw Verringerung der O2 Gabe zu verhindern
Die klinische Symptomatik passt zu einer pulmonalen Stauung bei Linksherzinsuffizienz und Vorhofflimmern. Der Transport zum RTW ist die ,,drittbeste Idee“ gewesen. Eine solche Patientin muss vor Ort Suffizient therapiert und stabilisiert werden, da sonst häufig eine rasche und drastische Verschlechterung eintritt. Also: Oberkörper hoch, Beine tief lagern , O2 Gabe bis SpO2 > 95%, bei RR > 100 mm/ Hg 1 Hub Nitro, 20mg Furosemid sowie vorsichtig titriert: Morphin zur weiteren Vorlastsenkung und subj. Minderung der Dyspnoe. Der Auskultationsbefund kann zu einer interstitiellen Überwässerung passen, in dieser Phase hört man noch keine RG“s in der Inspiration